SLUŽBY
PARODONTOLOGIE
Parodontologie – léčba parodontózy
Parodontologie je obor, který se zabývá tkáněmi v okolí zubů, a jeho prvotní snahou je zamezení nebo alespoň zastavení jejich úbytku či estetická korekce těchto tkání.
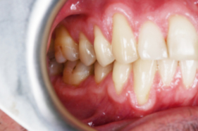
Nejčastějším onemocněním, s kterým se lze v paradontologii potkat, je parodontóza. Jde o bakteriální zánět závěsného aparátu zubu. Parodontóza je způsobena bakteriemi obsaženými v zubním povlaku. Ty nejdříve vyvolávají zánět dásně, a není-li tento zánět včas vyléčen, poškozuje těsnicí manžetu okolo krčku a postupuje do hlubších partií závěsného aparátu zubu, kde následně dochází k rozpadu závěsných vazů, zánětlivému rozrušení kostního lůžka zubu a k tvorbě defektů v kosti – jakýchsi kapes (tzv. chobotů). Neléčené onemocnění způsobuje ztrátu zubů.
Této konečné fázi parodontózy se snažíme, pokud možno preventivně, předejít nebo alespoň proces ztráty kosti zastavit. Na základě parodontologického vyšetření se určí léčebný plán. Terapie se soustřeďuje hlavně na eliminaci bakteriálního povlaku a míst a povrchů, které jeho ulpívání umožňují. U větší ztráty kosti pak nastupuje chirurgická léčba, kdy se kořen dočišťuje hloubkově za přímého pohledu, redukuje se hloubka kapes nebo se defekty doplňují syntetickými preparáty.
Krytí odhalených krčků
Odhalené krčky jsou pro některé estetickým handicapem a mohou způsobovat nepříjemné pocity při konzumaci převážně studených jídel a nápojů nebo při čištění zubů. Na odhalených částech kořene mohou vznikat kazivé léze. Z těchto důvodů se snažíme přijít na příčinu vzniku, abychom zabránili prohlubování stavu nebo návratu po korekci. Pomocí měkkých tkání a jejich zesílení je možné ve většině případů opětovně krčky přikrýt.
Chirurgické prodloužení korunek
Podle pravidla „zlaté proporce“ (zlatého řezu) tvoří viditelná šířka každého následujícího zubu od střední čáry asi dvě třetiny šířky dřívějšího zubu. Délku předních zubů považujeme za estetickou, pokud je v poměru 10 : 8 k šířce a také ať si to uvědomujeme nebo ne podvědomě vnímáme, pokud střední čára zubů nesedí se střední čárou obličeje, pokud je vidět více dásně nebo dáseň není uložena u některých krčků zubů výše a u některých níže. Nemusíme znát všechna tato pravidla, ale víme, že je něco špatně. Díky této chirurgické metodě můžeme kratší zuby prodloužit. Někdy spolu s úpravou tvaru proteticky.
Redukce patologických úponů – frenulum
V zubní předsíni (vestibulum oris) jsou přítomné slizniční řasy, v průběhu prořezávání stálé dentice se posouvají a jejich úpony by měly zůstat v oblasti sliznice nebo přechodu sliznice a dásně. Pokud k tomu nedojde, úpon zasahuje ke krčku zubu nebo do mezizubní papily. Opakované napětí, například při jídle, může způsobovat odhalování kořenů, znemožňuje nebo zhoršuje hygienu, může omezovat normální funkci rtu a podporovat vznik parodontálních chobotů.
Při jejich odstranění se přerušuje patologický úpon v místním znecitlivění, jde o poměrně rychlý výkon s brzkou rekonvalescencí. Rána se opatří vstřebatelnými stehy, které přibližně po třech týdnech zresorbují.





