SLUŽBY
ESTETICKÁ STOMATOLOGIE
Estetická stomatologie
Do estetické stomatologie můžeme zařadit bílé – kompozitní výplně, z protetických prací korunky a fasety, úpravy měkkých tkání, kdy pro oko i na podvědomé úrovni vnímáme jako esteticky pěkné určitou délku korunky zubu a průběh dásňového okraje. Dále postavení a sklon zubů. Všechny tyto úkony naleznete blíže rozepsané v dalších složkách služeb.
Rekonstrukce chrupu
V důsledku větších defektů zubů a okolních tkání je nutná celková rekonstrukce chrupu, při které je nutné provést větší či menší zásah a někdy i naplánovat mezioborovou spolupráci.
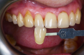
Bělení zubů
Bělení zubů je kosmetická procedura směřující k zesvětlení základního odstínu vašich zubů, a to jejich předních plošek ve viditelném úseku chrupu.
Před bělením je nutné mít absolvovanou dentální hygienu a sanaci všech větších kazů. Je nutné brát v potaz, že protetické práce a výplně se nevybělí.
Domácí bělení je metoda, kdy si pacient sám aplikuje přípravky určené pro bělení zubů. Jde o gel, který obsahuje určitou koncentraci peroxidu nebo karbamid-peroxidu. Účinná látka proniká přes zubní sklovinu a následně dochází k oxidaci pigmentů, tj. zesvětlení zubů.
Přípravky určené pro domácí bělení jsou bezpečné. Nejvhodnějším způsobem pro aplikaci bělicího gelu jsou tzv. nosiče, které se zhotoví individuálně podle modelu na základě otisku chrupu, a proto přesně odpovídají tvaru vašeho chrupu. Tím dosáhnete maximální účinnosti a ochrany dásní. Kompletní sada domácího bělení obsahuje nosiče a tuby 1 x 6 ml 10% bělicího gelu, 1 x 6 ml 16% bělicího gelu a 1 x 6 ml 6% bělicího gelu.
Bělicí gel se následně umístí do nosičů a nasadí se na zuby. Bělicí proces trvá přibližně dvě hodiny, po této době je již gel neúčinný, rovněž se stává neúčinným při spojení se slinou, proto se nemusíte bát, když přebytek gelu z nosiče vyteče.
Gel se nanáší jednou denně, je možné ho nechat působit i přes noc.
Po sejmutí nosičů si vypláchněte ústa vodou a minimálně další půlhodinu si chrup nečistěte mechanicky. Nosiče vyčistěte od zbytku gelu a nechte volně vyschnout. K vyschnutí nepoužívejte fén ani je nepokládejte na topení, nosiče by se mohly teplem zdeformovat a nemusely by odpovídat tvaru vašeho chrupu. Po půlhodině si můžete zuby vyčistit.
Ordinační bělení
Během ordinačního bělení, po kompletní důkladné izolaci měkkých tkání dutiny ústní, bude aplikován na povrch zubů bělicí gel. Zuby budou vystaveny působení gelu ve 4 x 15–20minutových procedurách. V průběhu procedury bude otvírání úst podpořeno plastickým retraktorem a chráničem jazyka. Po ukončení procedury bude veškerý gel odstraněn současně s izolací měkkých tkání. Před procedurou a po ní bude stanoven odstín zubů.
Kombinované bělení
Pro nejlepší efekt a docílení bělosti celého zubu, jak krčků, tak zbytku korunky, je optimální absolvovat kombinované bělení. Jde o domácí bělení, na které navazuje bělení ordinační, čímž se docílí nejlepších výsledků.





