SLUŽBY
IMPLANTOLOGIE
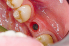
Zubní implantát
Pokud chceme nahradit ztracené zuby, aniž bychom zasahovali do okolních zdravých zubů, nabízí se možnost použití zubních implantátů.
Implantáty mají dvojí využití: umožní nahradit snímatelnou protézu pevným můstkem a odstraní nutnost broušení zdravých zubů kvůli zhotovení můstku. Jestliže chybí jeden zub nebo skupina zubů, implantáty opatřené korunkami nebo můstky chybějící zuby nahradí. Vždy platí, že po případném vytažení dalších zubů lze korunku nebo můstek sejmout a implantát využít jako pilíř pro rozsáhlejší konstrukci. Pokud nejsou v čelistech žádné zuby, pomocí implantátů lze na bezzubou čelist vyrobit pevný můstek nebo dobře držící snímatelnou náhradu a chrup obnovit.
Zubní implantát je šroubovitý podpůrný pilíř, který nahrazuje přirozený kořen zubu. Implantát je zaveden do čelisti, kde se nechá zhojit s kostí, po tuto dobu se většinou nezatěžuje. Implantát je vyroben z čistého technického titanu nebo ze slitiny titanu a zirkonia, je lidským organismem přijímán bez komplikací, alergické reakce se nevyskytují.
Zubní implantát se zavádí chirurgicky v lokálním znecitlivění.
Došlo-li ke ztrátě kosti, je nutné ji doplnit syntetickým kostním granulátem, vlastním kostním štěpem nebo kost „roztáhnout“.
Sinus lift
V některých případech, kdy nabídka kosti na umístění implantátu není dostatečná, je nutné si kost, do které implantát vroste, vytvořit. Poměrně častým řešením je sinus lift. Do zadních úseků horní čelisti může zasahovat vedlejší dutina nosní, kde je vzduchoprázdno, a kost tedy nepokračuje až do míst kořenů zubů. To sice nevadí, ale po jejich vytažení není dostatek prostoru pro samotný implantát, který potřebuje být obklopen kostí, proto se zvedne sliznice vedlejší dutiny nosní a použije se syntetický kostní materiál, čímž se získá potřebná výška pro zavedení implantátu. Zákrok se provádí v místním znecitlivění přes ústa.





